Cosmetic & Restorative

Cosmetic Dentistry is one of the most rewarding aspects of dentistry because it can provide the patient with a new found self-confidence.  These esthetic and rehabilitating procedures can range anywhere from teeth whitening to a more advanced smile makeover.  

Our Services

Full Mouth Rehabilitation

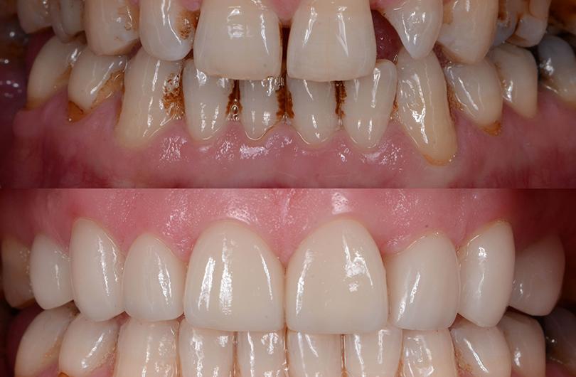
Full Mouth Rehabilitation corrects imperfections in bite position and enhances the appearance of the smile.
Learn more

Composite Fillings

Composite resin dental fillings were created as an alternative to traditional metal dental fillings.
Learn more

Tooth Whitening

All Smiles Family Dentistry offers Teeth Whitening Services! There are many different options for the teeth whitening procedure. Please ask your dentist which is best for you. Visit our site to learn more!
Learn more

Dentures & Partial Dentures

Dentures are prosthetic devices constructed to replace missing teeth, and which are supported by surrounding soft and hard tissues of the oral cavity.
Learn more

Mini Implants

Mini dental implants are tiny state-of-the-art implants that are great for replacing missing teeth and stabilizing loose fitting dentures.
Learn more

Porcelain Crowns & Bridges

The procedures for making and fitting a crown or a bridge are very similar.
Learn more

Porcelain Veneers

Porcelain veneers are very thin porcelain facings and are a great way to transform your smile in a short time and with little work done on your teeth.
Learn more

Orthodontics

Braces are applied to teeth for various reasons, including poorly aligned jaws, crooked, crowded and missing teeth, or a bad bite (also called malocclusion). Contact us today to schedule an orthodontics appointment!
Learn more